Ceramic Dental Crowns Uk

Private Nhs Dental Crowns Friends Dental Practice In Norwich

Private Nhs Dental Crowns Friends Dental Practice In Norwich

Nhs All Ceramic Crown Made In The Uk

Nhs All Ceramic Crown Made In The Uk

Dental Crowns Know Your Options

Dental Crowns Know Your Options

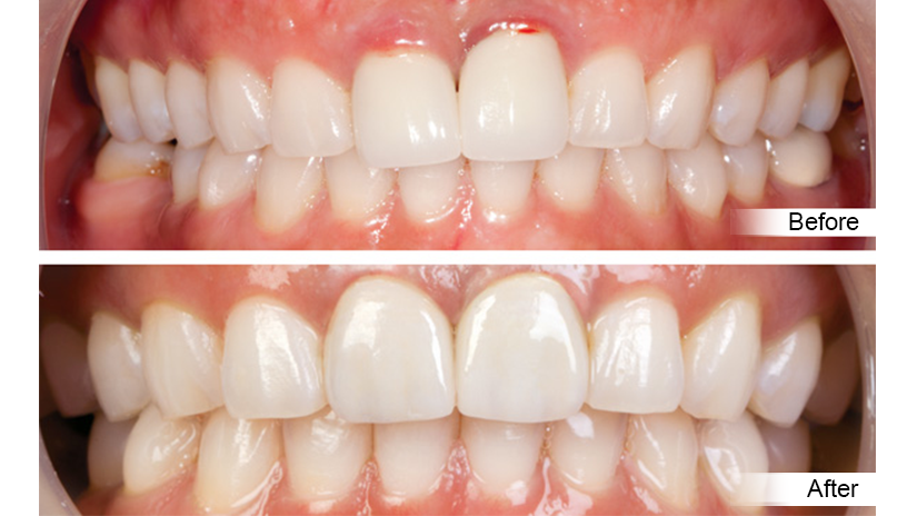
Replacing Old Crowns Advanced Dentistry

Replacing Old Crowns Advanced Dentistry

Dental Bridges Crowns In Southampton Burridge Dental Practice

Dental Bridges Crowns In Southampton Burridge Dental Practice

Replacing An Old Nhs Crown With An Implant And Porcelain Bridge

Replacing An Old Nhs Crown With An Implant And Porcelain Bridge

Replacing An Old Nhs Crown With An Implant And Porcelain Bridge

Crowns are an ideal way to repair teeth that have been broken or have been weakened by decay or a very large filling.

Ceramic dental crowns uk.

Advantages of ceramic crowns. Some of the brand names associated with all ceramic crowns are. Uk all inclusive porcelain fused to metal dental crown price in the uk. Exact costs depend on which tooth is being treated and which material the crown is made of.

Making use of the very latest in computer technology it is possible to have crowns designed manufactured and fitted in just one visit to the dentist s office. Porcelain crowns can last a long time but they have to be well taken care of. A crown is sometimes known as a cap. Porcelain crowns learning more about the difference between ceramic crowns and porcelain crowns is necessary when you are not sure which crown option is ideal for you.

Chairside economical restoration of esthetic ceramic cerec is also known as same day or single day dentistry. Dental crowns is an artificial restoration that fits over the remaining part of a prepared tooth making it strong and giving it the shape of a natural tooth. However the main disadvantages of porcelain crowns are. From 900 to 1200 emax dental crown price in the uk.

We believe in transparent pricing so we always explain the full cost to you before beginning treatment. Full porcelain crowns or caps cost just 327 per tooth at dental holiday fortunately the modern solution to porcelain fused or metal based crowns has become a common occurrence in many private dental practices across the uk. Dicor cerapearl optec empress bruxzir ips e max vitadur hyceram cerestore procera inceram cerec procad vitablocs and paradigm. You may be surprised to learn that both dental crown materials are made using dental porcelain and dental ceramics which means that they are very similar in.

From 450 to 600 zirconia dental crown price in the uk. The emax system is most suitable for the crowns and veneers of your front teeth. They are not as strong as metal crowns. Listed below are the average prices of dental crowns in various european countries.

Porcelain fused to metal crowns. Patients who suffer from bruxism should opt for gold of pfm. All porcelain or ceramic crowns are the best choice for a natural cosmetic look. Emax based all ceramic prostheses are rapidly gaining widespread popularity in cosmetic dentistry due to their excellent esthetics durability and strength.

This is the all ceramic or metal free crown. However most bupa dental care practices also offer crowns privately. The emax system is mainly indicated for fabrication of crowns and veneers in the anterior region. They may be more costly than other types of crowns such as metal crowns.

Nhs Solid Zirconia Made In The Uk

Nhs Solid Zirconia Made In The Uk

Average Cost Of A Crown Should You Go Private

Average Cost Of A Crown Should You Go Private

Dental Crowns Kds

Dental Crowns Kds

Cad Cam Zirconia Ceramic Dental Crowns And Manufacturing

Cad Cam Zirconia Ceramic Dental Crowns And Manufacturing

Dentist Cumbernauld Nhs Dentist Cumbernauld Central Dental Care

Dentist Cumbernauld Nhs Dentist Cumbernauld Central Dental Care

What Are The Types Of Dental Crowns Simply Teeth Essex

What Are The Types Of Dental Crowns Simply Teeth Essex

Dental Crown White Crowns Same Day Crowns Fix Broken Chipped Teeth All Porcelain Crowns S3 Dental Eltham Nhs Private Dentist Se9 London

Dental Crown White Crowns Same Day Crowns Fix Broken Chipped Teeth All Porcelain Crowns S3 Dental Eltham Nhs Private Dentist Se9 London

Dental Crowns And Veneers Difference Esdent Dental Centre

Dental Crowns And Veneers Difference Esdent Dental Centre

Types Of Dental Crowns For Front And Back Teeth Bristol Dental Lab

Types Of Dental Crowns For Front And Back Teeth Bristol Dental Lab

Fillings Crowns Veneers Bupa Dental Care Uk

Fillings Crowns Veneers Bupa Dental Care Uk

Dental Crowns In Turkey Esdent Dental Centre

Dental Crowns In Turkey Esdent Dental Centre

Crown Full Zirconia Monolithic Temporary Crown Screw Posts Dental Clinic

Crown Full Zirconia Monolithic Temporary Crown Screw Posts Dental Clinic

Zirconia Crown Bridge Dental Crowns For New Tooth Zirconium Pros Cons

Zirconia Crown Bridge Dental Crowns For New Tooth Zirconium Pros Cons

Dental Crowns Lancashire Dental Practice Tooth Crown Specialists

Dental Crowns Lancashire Dental Practice Tooth Crown Specialists

Before And After Patient Lost Two Front Teeth In A Rowing Accident He Was Given Root Canal A Post And Core And All Ceramic Root Canal Smile Everyday Patient

Before And After Patient Lost Two Front Teeth In A Rowing Accident He Was Given Root Canal A Post And Core And All Ceramic Root Canal Smile Everyday Patient

Pin On Dream Board

Pin On Dream Board

Crowns Smart Dental Care Ireland

Crowns Smart Dental Care Ireland

Hollywood Smile Makeover With Zirconium Crowns To Close The Gaps Correct The Recessed Tooth And Move The Central Midline Into The Right Position

Hollywood Smile Makeover With Zirconium Crowns To Close The Gaps Correct The Recessed Tooth And Move The Central Midline Into The Right Position

Https Encrypted Tbn0 Gstatic Com Images Q Tbn 3aand9gcqtvkdloc56b3oplmvmx Wcni9b Vlgip6jlfieagzzuzap1i4p Usqp Cau

Https Encrypted Tbn0 Gstatic Com Images Q Tbn 3aand9gcqtvkdloc56b3oplmvmx Wcni9b Vlgip6jlfieagzzuzap1i4p Usqp Cau

Difference Between Metal Ceramic And Zirconium Dental Crowns Best Dentist In Croatia

Difference Between Metal Ceramic And Zirconium Dental Crowns Best Dentist In Croatia

Nhs Hybrid Ceramic Crown And Bridge Made In The Uk

Nhs Hybrid Ceramic Crown And Bridge Made In The Uk

Dental Crowns Types Cost Private Nhs Before And After

Dental Crowns Types Cost Private Nhs Before And After

Dental Crowns Leicester Tooth Restoration Wigston Hallcross Dental

Dental Crowns Leicester Tooth Restoration Wigston Hallcross Dental

Sunceram Restorations Zirconia Dental Crowns Sun Dental Labs

Sunceram Restorations Zirconia Dental Crowns Sun Dental Labs

Source : pinterest.com